Skip to content
ศูนย์ทันตกรรมทันตกิจ ศูนย์ทันตกรรมทันตกิจ
  • Home
  • Services
    • Dental Implant in Bangkok Thailand
      • Full Arch Digital Implants by DIO NAVI Implant System
      • Fully Dynamic Computer Aided Navigation Implant Surgery
    • Cosmetic Dentistry in Bangkok Thailand
      • Digital Smile Design (DSD)
      • Crowns and Bridges
      • Porcelain Veneers: What You Need to Know
      • Zoom Tooth Whitening
      • Porcelain or Ceramic Inlays/Onlays
      • Dental Bonding
    • Orthodontics and Braces
      • Invisalign (Clear Aligners)
      • Damon Speed Braces
      • Brava by BRIUS
    • Other Dental Services
      • Safe Amalgam/Mercury Removal Procedure
      • Airflow Cleaning
      • Root Canal Treatment
      • Wisdom Tooth Extraction
      • Root Planing / Deep Cleaning
      • Gum Treatment
      • Pediatric Dentistry
      • Digital X-rays and Imaging System
      • 3D Dental CT Scan
      • Digital CAD/CAM Milling Dental Lab
      • Digital Impression Scanner
      • In-House Dental Laboratory
  • Dentists

    Our dentists

    Implantologists
    Prosthodontists
    Operative and Cosmetic Dentists
    Orthodontists & Invisalign Specialist
    Endodontists
    Periodontists
    Oral Surgeon
    Pedodontists
  • Cost
    Prices

    DENTAL TREATMENT COSTS/PRICES

    Dental work warranty

    PREMIUM CARE WARRANTY

  • PROMOTION
  • Case studies

    Our case studies & testimonial

    Testimonial
    Celebrities at Thantakit

    Dental implant Treatment Cases

    Cosmetic Dental Work cases

    Invisalign Treatment Cases

    Orthodontics Treatment Cases

  • Blog
  • Contact us
    • Send Enquiry
    • Plan your visit
    • Location Maps
    • Facilities
  • English

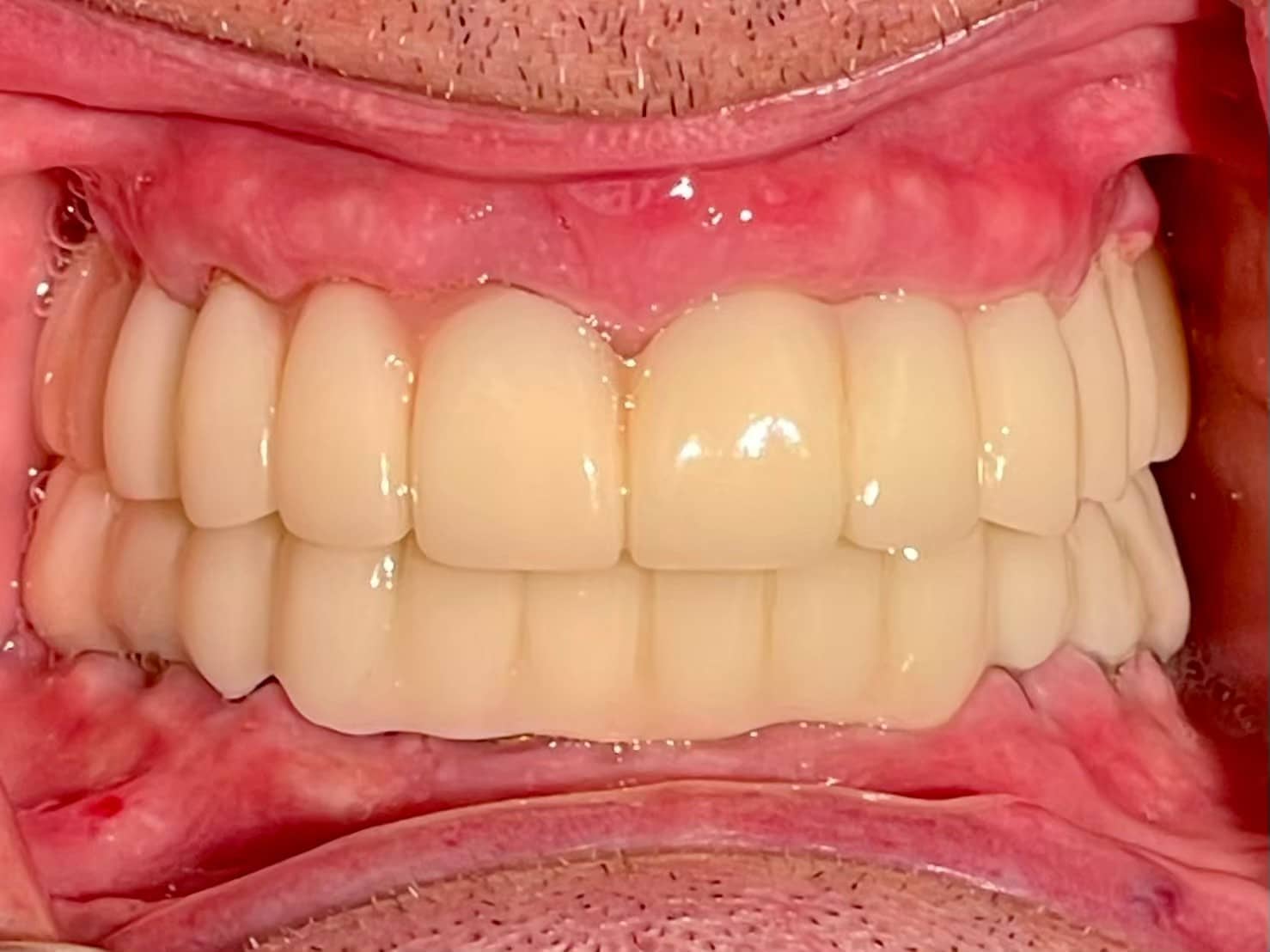
CASE 46

Upper Jaw All-on-6 and Lower Jaw All-on-4 Implants
back to all case

Get Consultation with Our Dentist









    (Only Word Document, PDF, JPEG, PNG and Excel files are allowed)

    If failed to send, please email us at [email protected]

    Thantakit International Dental Center

    Head Office: 1939 New Petchburi Road Bangkok Thailand

    All Seasons Place Office (next to US Embassy: 3rd fl. CRC Tower All Seasons Place Complex, Wireless Road Bangkok Thailand

    Contact numbers

    • +662 718 0777
    • +668 0309 8008
    • +668 0309 8338
    • +668 6348 7388

    All Seasons Place Office:

    • +662 685 3444
    • +662 685 3445
    • +668 9104 8133
    • +668 0309 8228

    © 2026 Thantakit International Dental Center

    Home | Services | Dentists | Prices | Testimonials | Privacy Policy | Contact Us
    • Home
    • Services
      • Dental Implant in Bangkok Thailand
        • Full Arch Digital Implants by DIO NAVI Implant System
        • Fully Dynamic Computer Aided Navigation Implant Surgery
      • Cosmetic Dentistry in Bangkok Thailand
        • Digital Smile Design (DSD)
        • Crowns and Bridges
        • Porcelain Veneers: What You Need to Know
        • Zoom Tooth Whitening
        • Porcelain or Ceramic Inlays/Onlays
        • Dental Bonding
      • Orthodontics and Braces
        • Invisalign (Clear Aligners)
        • Damon Speed Braces
        • Brava by BRIUS
      • Other Dental Services
        • Safe Amalgam/Mercury Removal Procedure
        • Airflow Cleaning
        • Root Canal Treatment
        • Wisdom Tooth Extraction
        • Root Planing / Deep Cleaning
        • Gum Treatment
        • Pediatric Dentistry
        • Digital X-rays and Imaging System
        • 3D Dental CT Scan
        • Digital CAD/CAM Milling Dental Lab
        • Digital Impression Scanner
        • In-House Dental Laboratory
    • Dentists
      • Implantologists
      • Prosthodontists
      • Operative, Cosmetic Dentists, and General Dentists
      • Orthodontists & Invisalign Specialist
      • Endodontists
      • Periodontists
      • Oral Surgeon
      • Pedodontists
    • Cost
      • Prices
      • Dental Work Warranty
    • PROMOTION
    • Case studies
      • Testimonials
      • Celebrities At Thantakit
      • Dental implant Treatment Cases
      • Cosmetic Dental Work cases
      • Invisalign Treatment Cases
      • Orthodontics Treatment Cases
    • Blog
    • Contact us
      • Send Enquiry
      • Plan your visit
      • Location Maps
      • Facilities
    • English
    Appointment Make an appointment
    Make and appointment

    Leave your details
















      (Only Word Document, PDF, JPEG, PNG and Excel files are allowed)

      If failed to send, please email us at [email protected]

      Login

      Lost your password?