Skip to content
ศูนย์ทันตกรรมทันตกิจ ศูนย์ทันตกรรมทันตกิจ
  • Home
  • Services
    • Dental Implant in Bangkok Thailand
      • Full Arch Digital Implants by DIO NAVI Implant System
      • Fully Dynamic Computer Aided Navigation Implant Surgery
    • Cosmetic Dentistry in Bangkok Thailand
      • Digital Smile Design (DSD)
      • Crowns and Bridges
      • Porcelain Veneers: What You Need to Know
      • Zoom Tooth Whitening
      • Porcelain or Ceramic Inlays/Onlays
      • Dental Bonding
    • Orthodontics and Braces
      • Invisalign (Clear Aligners)
      • Damon Speed Braces
      • Brava by BRIUS
    • Other Dental Services
      • Safe Amalgam/Mercury Removal Procedure
      • Airflow Cleaning
      • Root Canal Treatment
      • Wisdom Tooth Extraction
      • Root Planing / Deep Cleaning
      • Gum Treatment
      • Pediatric Dentistry
      • Digital X-rays and Imaging System
      • 3D Dental CT Scan
      • Digital CAD/CAM Milling Dental Lab
      • Digital Impression Scanner
      • In-House Dental Laboratory
  • Dentists

    Our dentists

    Implantologists
    Prosthodontists
    Operative and Cosmetic Dentists
    Orthodontists & Invisalign Specialist
    Endodontists
    Periodontists
    Oral Surgeon
    Pedodontists
  • Cost
    Prices

    DENTAL TREATMENT COSTS/PRICES

    Dental work warranty

    PREMIUM CARE WARRANTY

  • PROMOTION
  • Case studies

    Our case studies & testimonial

    Testimonial
    Celebrities at Thantakit

    Dental implant Treatment Cases

    Cosmetic Dental Work cases

    Invisalign Treatment Cases

    Orthodontics Treatment Cases

  • Blog
  • Contact us
    • Send Enquiry
    • Plan your visit
    • Location Maps
    • Facilities
  • English

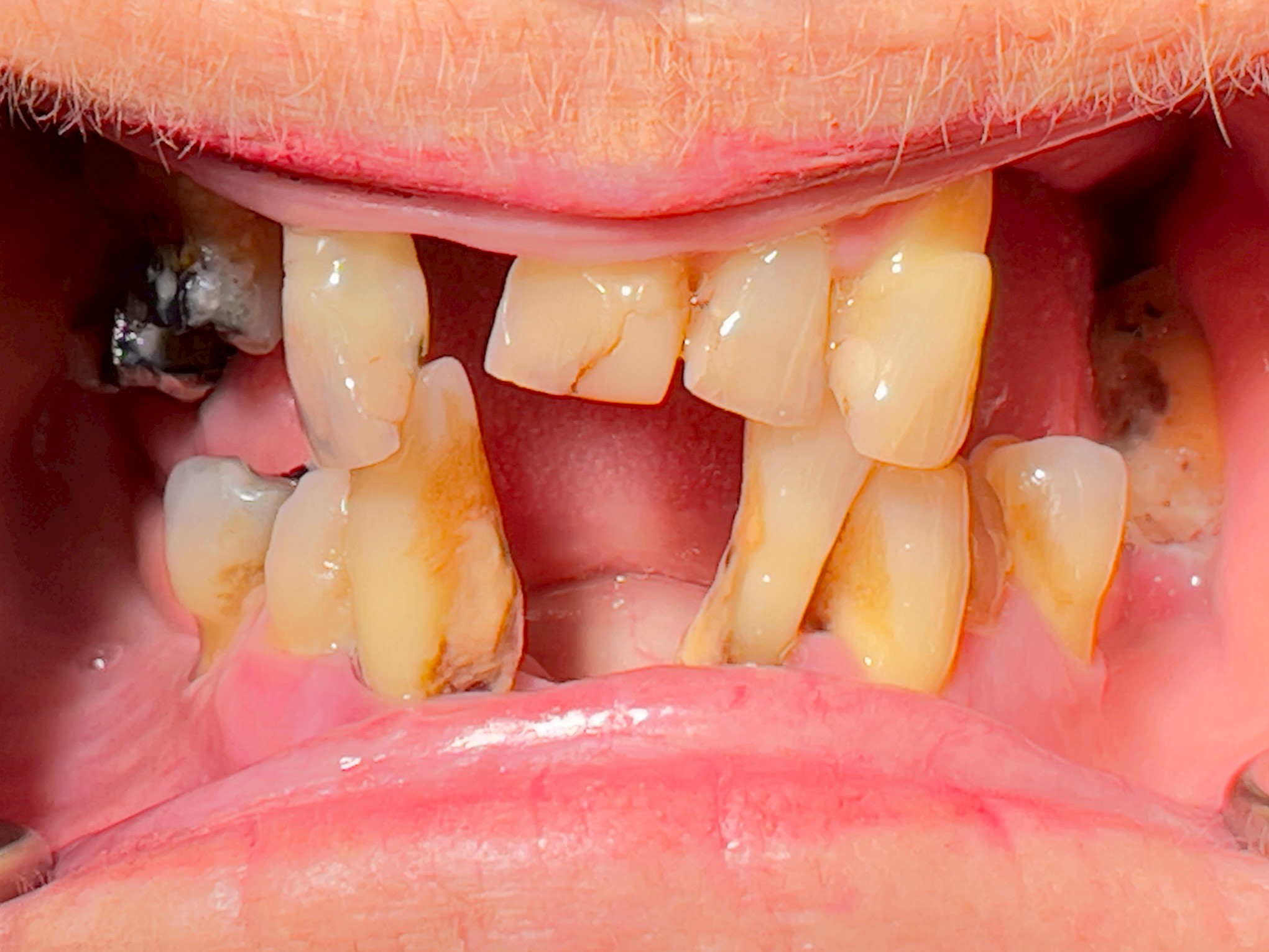
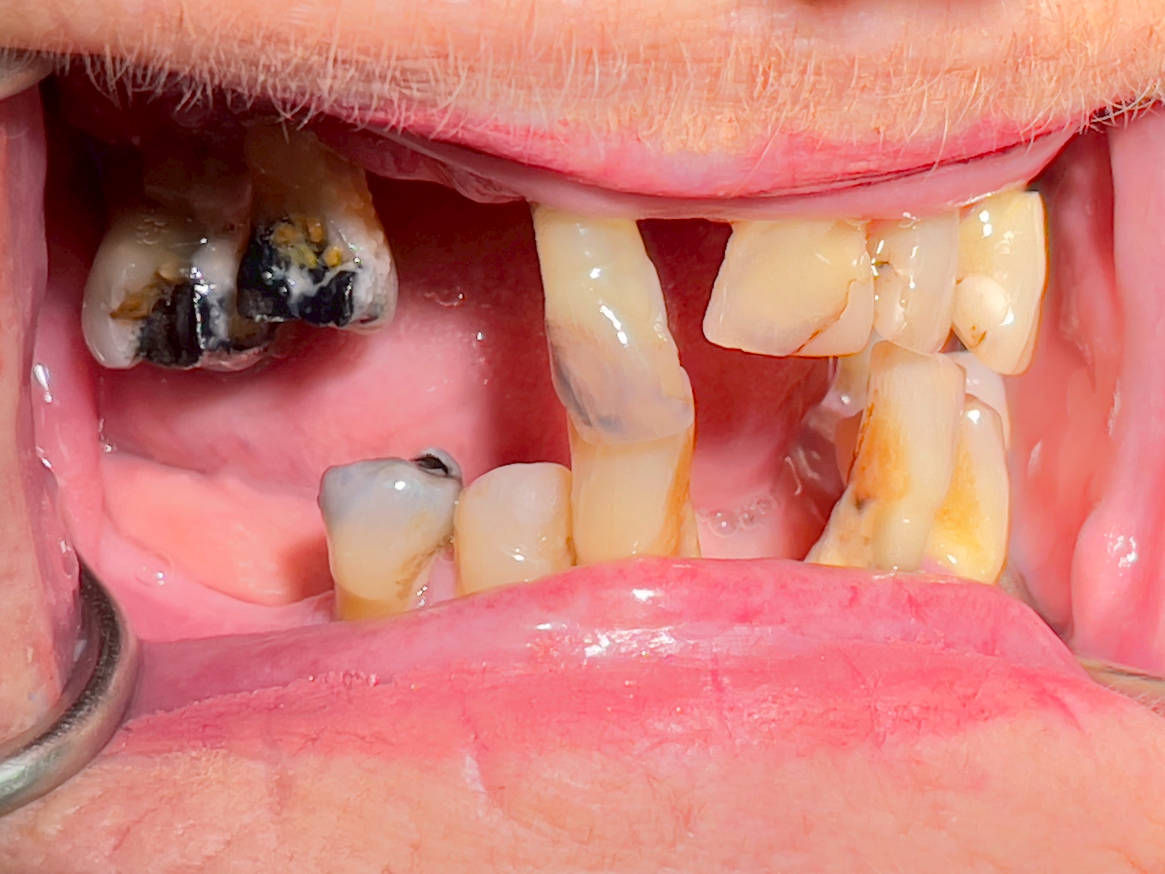
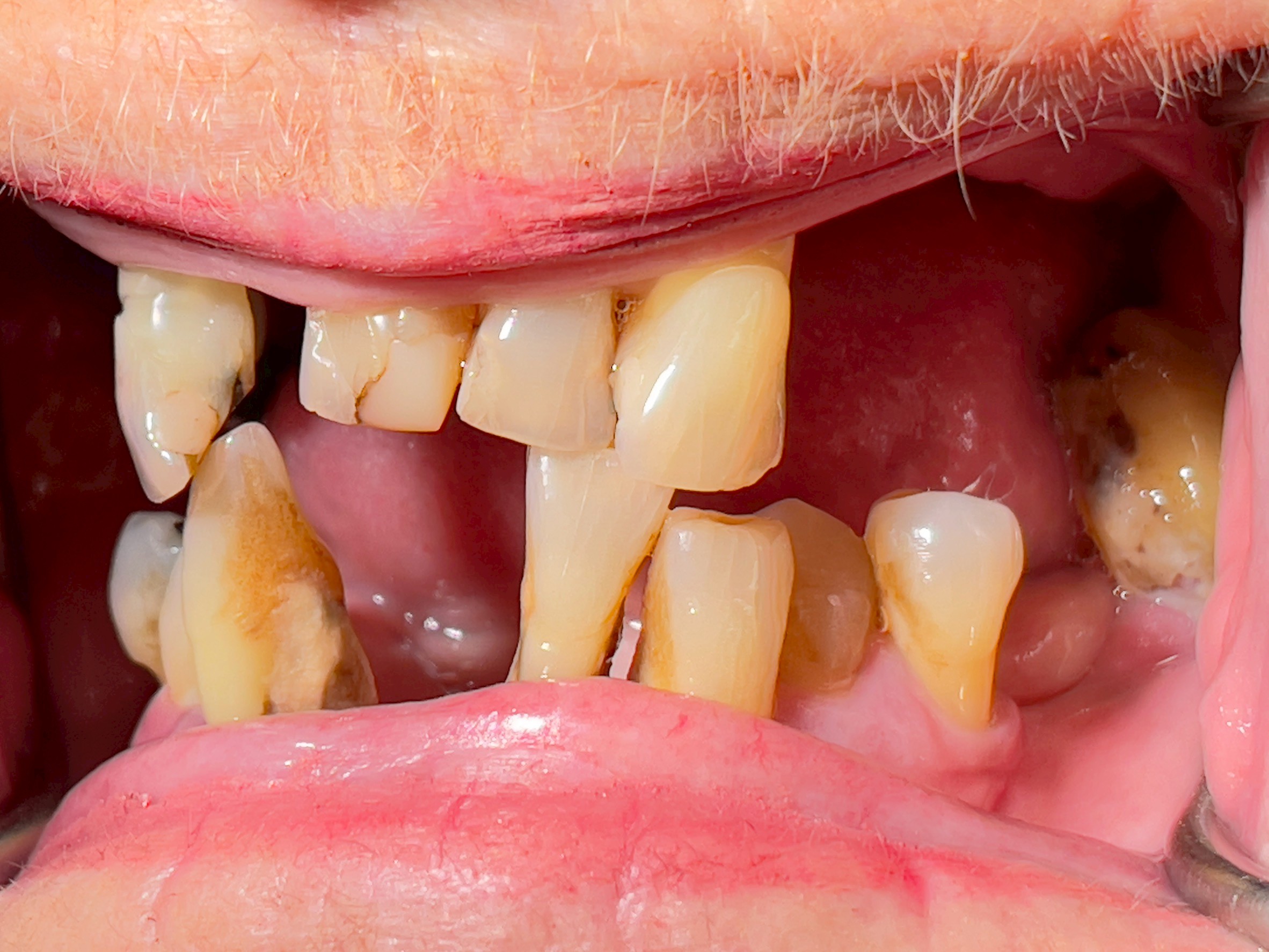
CASE 52

All-on-5 Implants Upper Jaw + All-on-4 Implants Lower Jaw
back to all case

Get Consultation with Our Dentist









    (Only Word Document, PDF, JPEG, PNG and Excel files are allowed)

    If failed to send, please email us at [email protected]

    Thantakit International Dental Center

    Head Office: 1939 New Petchburi Road Bangkok Thailand

    All Seasons Place Office (next to US Embassy: 3rd fl. CRC Tower All Seasons Place Complex, Wireless Road Bangkok Thailand

    Contact numbers

    • +662 718 0777
    • +668 0309 8008
    • +668 0309 8338
    • +668 6348 7388

    All Seasons Place Office:

    • +662 685 3444
    • +662 685 3445
    • +668 9104 8133
    • +668 0309 8228

    © 2026 Thantakit International Dental Center

    Home | Services | Dentists | Prices | Testimonials | Privacy Policy | Contact Us
    • Home
    • Services
      • Dental Implant in Bangkok Thailand
        • Full Arch Digital Implants by DIO NAVI Implant System
        • Fully Dynamic Computer Aided Navigation Implant Surgery
      • Cosmetic Dentistry in Bangkok Thailand
        • Digital Smile Design (DSD)
        • Crowns and Bridges
        • Porcelain Veneers: What You Need to Know
        • Zoom Tooth Whitening
        • Porcelain or Ceramic Inlays/Onlays
        • Dental Bonding
      • Orthodontics and Braces
        • Invisalign (Clear Aligners)
        • Damon Speed Braces
        • Brava by BRIUS
      • Other Dental Services
        • Safe Amalgam/Mercury Removal Procedure
        • Airflow Cleaning
        • Root Canal Treatment
        • Wisdom Tooth Extraction
        • Root Planing / Deep Cleaning
        • Gum Treatment
        • Pediatric Dentistry
        • Digital X-rays and Imaging System
        • 3D Dental CT Scan
        • Digital CAD/CAM Milling Dental Lab
        • Digital Impression Scanner
        • In-House Dental Laboratory
    • Dentists
      • Implantologists
      • Prosthodontists
      • Operative, Cosmetic Dentists, and General Dentists
      • Orthodontists & Invisalign Specialist
      • Endodontists
      • Periodontists
      • Oral Surgeon
      • Pedodontists
    • Cost
      • Prices
      • Dental Work Warranty
    • PROMOTION
    • Case studies
      • Testimonials
      • Celebrities At Thantakit
      • Dental implant Treatment Cases
      • Cosmetic Dental Work cases
      • Invisalign Treatment Cases
      • Orthodontics Treatment Cases
    • Blog
    • Contact us
      • Send Enquiry
      • Plan your visit
      • Location Maps
      • Facilities
    • English
    Appointment Make an appointment
    Make and appointment

    Leave your details
















      (Only Word Document, PDF, JPEG, PNG and Excel files are allowed)

      If failed to send, please email us at [email protected]

      Login

      Lost your password?